Teeth Whitening

What is Teeth Whitening?


_DSC0465.jpg

Before

Teeth are generally darken over time. Heavily coloured foods and drinks contribute to an increase in the speed of discolouration.

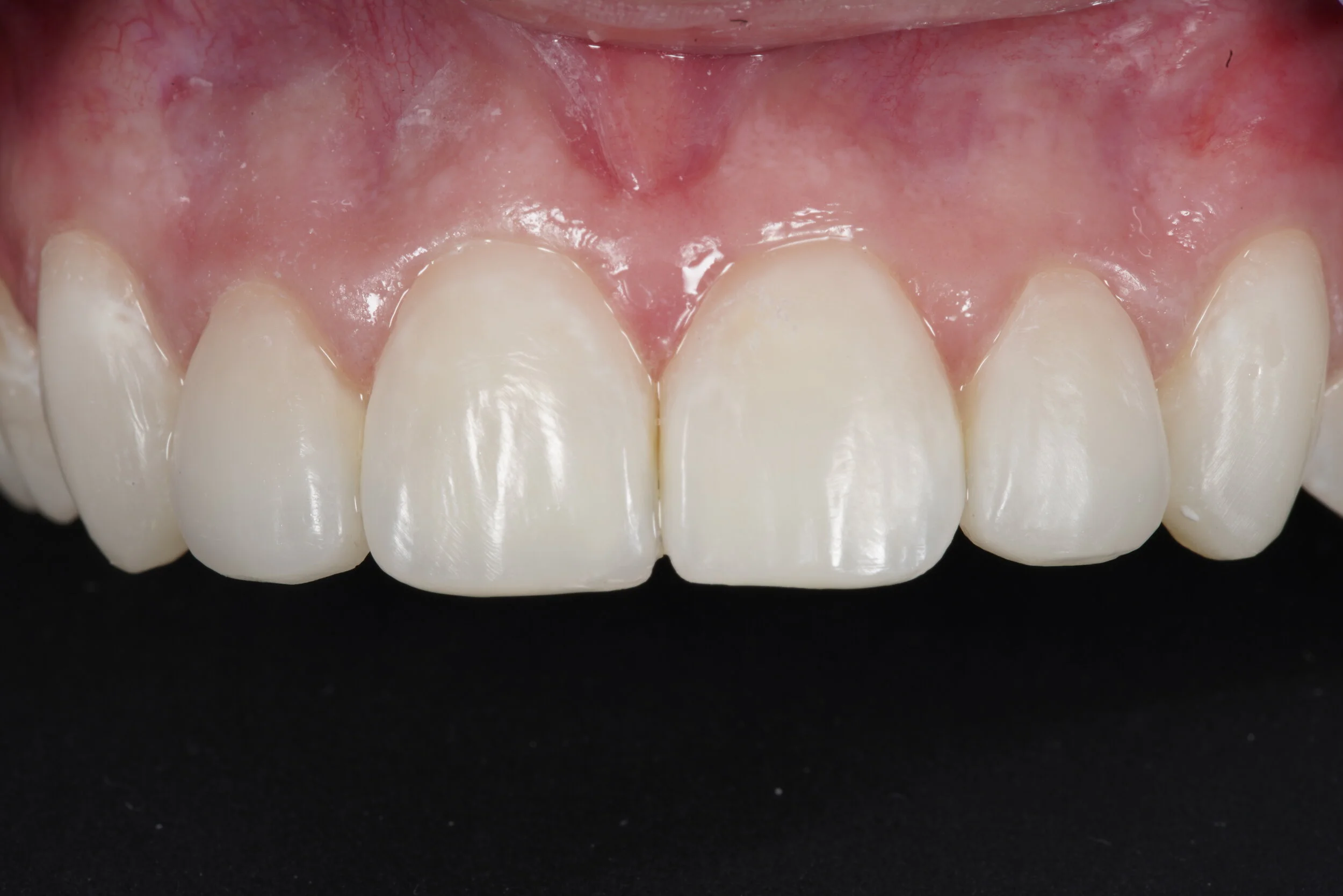
_DSC0577.JPG

After

Teeth whitening, also called teeth bleaching, can make a significant improvement to the colour and give a brighter, younger, fresher appearance. This may be all you need to achieve the smile you want.

_DSC0635.JPG

Composite Veneers

Occasionally there is an need to repair damaged teeth and whitening allows minimally invasive treatments, like composite bonding, to be used to great effect. This treatment is directly layered by hand onto the tooth surface and does not damage the underlying tooth.

Gallery

Home Teeth Whitening


Impressions

The first stage is to have impressions made of your teeth. This allows for accurate, custom-made whitening trays to be constructed for the gel to be placed in. These are fitted in the practice to ensure the correct fit and you are given a demonstration on how to use the whitening gel and how to put the trays in your mouth.

Custom Trays

The custom trays allow the whitening gel to be held close to the teeth, but are made in such a way that they allow excess gel to be wiped away. A small half-pea sized spot of gel is placed in the front of each tooth space of the teeth that you wish to whiten. The tray is worn for at least 3-4 hours although most people wear it over night. In the morning, the trays are taken out and the excess gel is removed with a toothbrush. They can then be stored in a special tray case. Your teeth may become sensitive later in the day and de-sensitising toothpaste can be used after bleaching to help reduce this.

Top Up

Whitening gel can be used as frequently as required to achieve the desired shade, or until the teeth stop changing colour. Review appointments will have been made to see how you are getting on and the new colour can be compared to the starting point. When you need more whitening gel, you can just get in touch and purchase more. If you ever have any worried or concerns, then feel free to get in touch!

Is it Safe?

 

Only if carried out by a dental professional

Teeth whitening is a medical procedure and by law, must be administered by a dentist. The products that are used in a dental practice are safe to use in the mouth and have been researched to ensure that they whiten teeth in a safe and gentle fashion. The strength of the whitening gel is carefully controlled so that it is not too concentrated, which might cause damage to the gums and teeth. It is also a neutral pH to prevent demineralisation of the teeth. Laser tooth whiting is more aggressive and is not better in the long run when compared to home tooth whiting.

Side Effects

The most common side effect is sensitivity. This is quite normal and will pass in a day or so. De-sensitising toothpastes are helpful in reducing the discomfort and using the whitening gel every other night also helps. If too much gel is used, there can be some redness of the gums but this usually heals fairly quickly due to the safe concentrations used. Microscopic changes occur to the surface of the tooth but this is no more severe than eating an orange for example. If there are crowns, veneers, or white fillings in place, these will not change colour and might need to be replaced after the treatment if there is an obvious colour mismatch.

 

How Long Does it Last?


Teeth whitening can last up to two years before it needs to be redone. Over this time, the teeth will start to slowly return to a shade similar as the starting point, although it may not be as dark as the initial shade. Most patients ‘top up’ more frequently than this, for example every 6 months. This means that less whitening is required each time and can be carried out over a shorter period, perhaps only a couple of nights every 6 months. As long as the custom made trays still fit, new whitening gel can be bought to top up.