Restorative Dentistry

From one tooth, to a whole mouth


 

What is Restorative Dentistry?

IMG_2848.jpeg

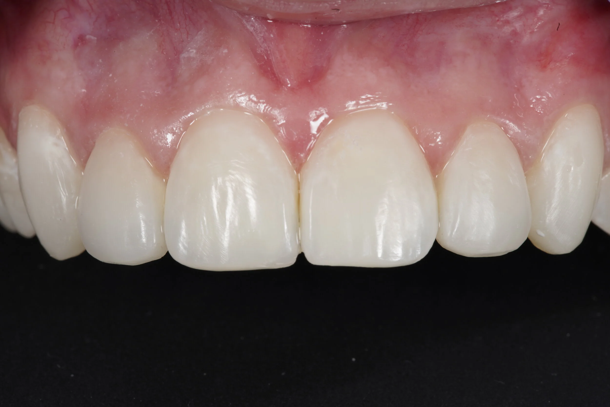
Crown & Bridge

A dental crown is a custom replacement for a damaged tooth. It is bonded to the remaining underlying tooth to give back form and function. It is hand-finished to give the best possible aesthetics.

A bridge is a custom replacement for a missing tooth and is bonded to an adjacent tooth (or teeth) and carries a replacement tooth.

Both are made in a dental laboratory.

IMG_9708.JPG

Veneers

A veneer is a custom, hand-finished product that is bonded to a tooth when only the front needs to be replaced. This can be done to mask the underlying colour, alter poorly shaped teeth, or due to dental disease. Veneers are made in a dental laboratory and allow for the highest level of aesthetics to be achieved.

_DSC0635.JPG

Composite Bonding

Composite bonding is a minimally invasive technique that directly builds high quality white filling material onto the tooth by hand. This technique is appropriate when there is not enough tooth damage to justify a crown or a veneer.

White fillings have proven themselves to be a cost effective and an excellent alternative to veneers in the right cases.

_DSC1319.jpg

Loose Dentures

False teeth are miserable for the wearer. They affect every part of life, from meals, to confidence when socialising. They rely on suction from the underlying gum or remaining teeth to hold them in place.

They can however provide beautiful aesthetics due to the high quality prosthetic teeth available today. When combined with a metal base or dental implants, there is an increased security in function due to the additional grip of specialty designed studs or bars.

Loose Dentures
IMG_2376.JPG

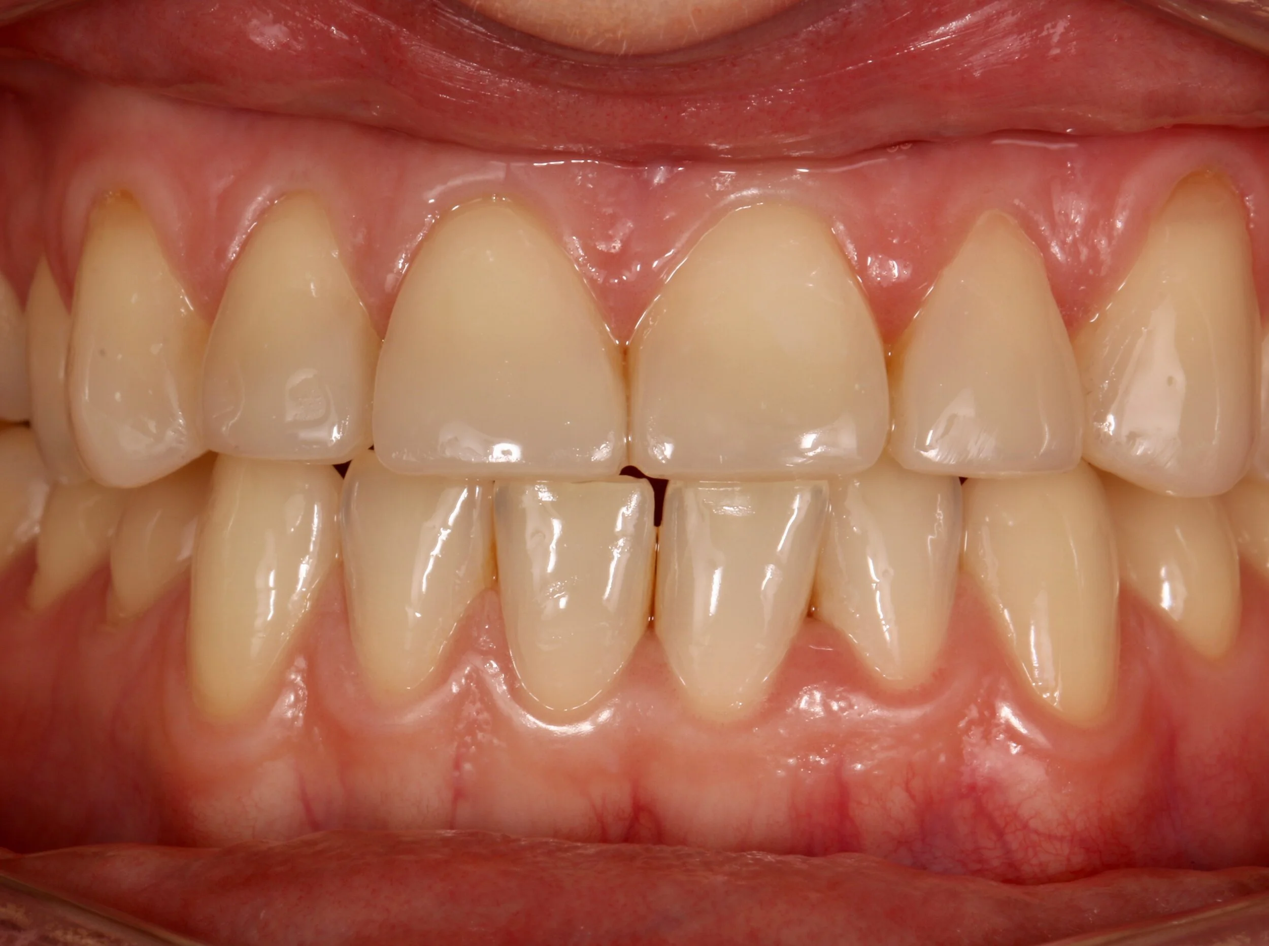
Tooth Wear & Erosion

Tooth wear from erosion, combined with other factors, has become far more common in recent times. This can severely damage teeth which become short, fragile and sensitive. Re-building some or all of the teeth is often required to protect and save the remaining teeth from further damage or loss. Aesthetics are usually also compromised.

_DSC1460.jpeg

T.M.D

Temporo-mandibular Disorders (also called TMJ problems) are a group of conditions that cause pain, tenderness, clicking and discomfort around the face and over the jaw joint. Only a thorough assessment can determine if they are related to the jaw joint itself, or the muscles of the jaws. Custom made splints along with rest and cognitive behavioural therapy form some of the treatment options.

Treatments in Detail

Dental Crowns


IMG_2791.jpeg

Before

Dental crowns may need to be placed or replaced due to disease, damage and poor aesthetics. Staining at the edges, or the gums receding, all contribute to replacement. Crowns might be chosen if the tooth is weakened due to decay, cracks, or has many fillings that are prone to fracture.

A crown will hold a tooth together to give back its strength.

IMG_3307.jpeg

During

The remaining tooth is carefully prepared and adjusted to allow for an impression to be made. This impression is taken to the laboratory so that a new custom designed, hand-finished crown can be made. Digital technologies and Computer Aided Manufacture are employed to get the best possible result. Hand-made temporary crowns are placed, as shown above, whilst the final crowns are made.

IMG_3531.jpeg

After

Once the final crown has been finished, it is returned to the practice. It is checked to assure the quality and then tried on the tooth prior to being cemented into place. If there are any concerns, the crown is rejected and replaced, or rebuilt, to ensure the best possible result. When the result is excellent, the crown is finally cemented in place.

Gallery

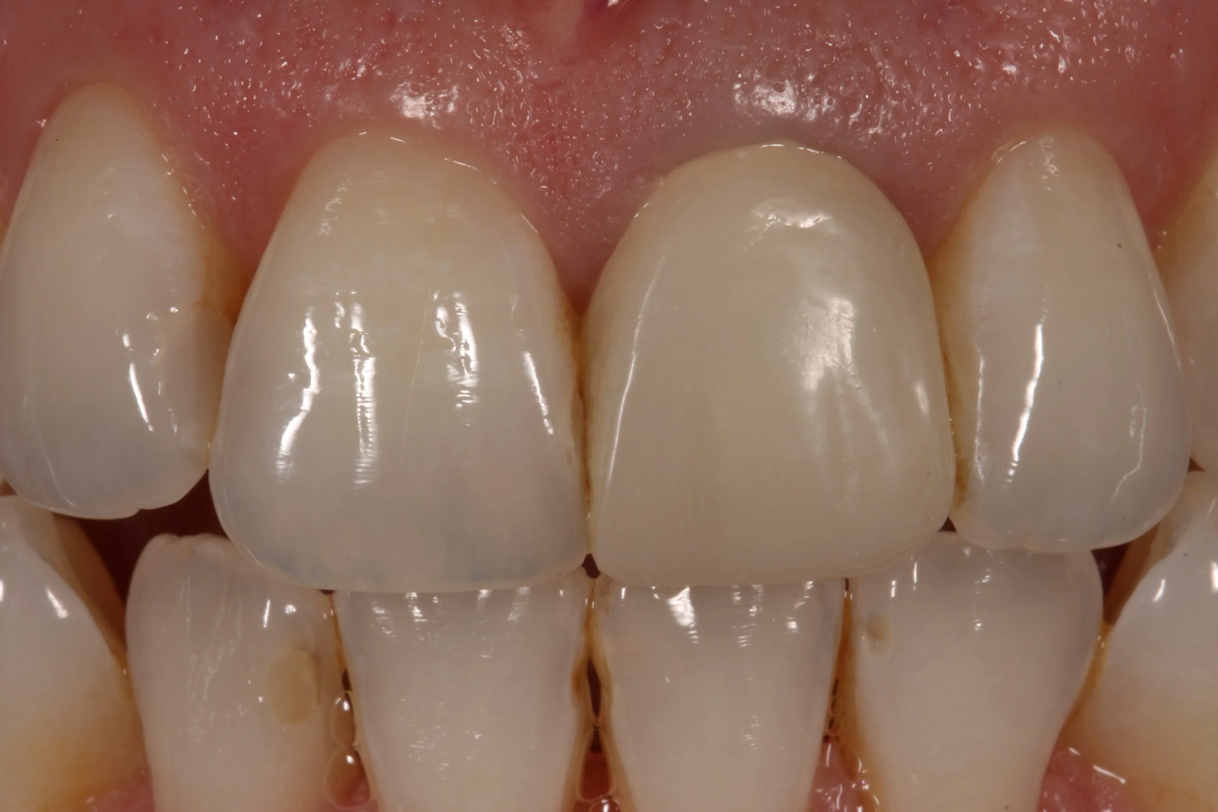
Dental Veneers


Screenshot 2020-05-10 at 22.23.27.png

Before

Dental veneers are replaced for similar reasons as crowns. They may be chosen to improve the appearance of teeth and alter the shape if patients do not want to undergo Orthodontics. Veneers generally require the removal of some natural tooth structure although modern technologies have made them far more conservative. They provide the best aesthetics in a conservative fashion

IMG_6745.jpg

During

The teeth are carefully prepared to minimise any damage, or the old veneers are removed. The tooth is polished and adjusted ready for an impression. Temporary veneers are placed whilst the new veneers are hand-crafted in the dental laboratory.

IMG_9708.JPG

After

Once the veneers are returned to the practice, they are inspected and only fitted when they meet expectations. Special cements are used which have a range of colours to further customise the final result. It may be advised to wear a bite guard at might to protect the veneers from damage during sleep if there is a history of grinding.

Gallery

Dental Bridges


IMG_2161.JPG

Before

Bridges replace missing teeth by attaching to the tooth next door. This can either be through a custom made wing that wraps around the adjacent tooth, or a design that covers the adjacent tooth entirely.

IMG_2630.JPG

During

In very similar steps to that described for veneers and crowns, impressions are made that allow for the bridge to be constructed. Various materials can be used and are chosen depending on the particular circumstances. These can range from high strength ceramics to special metal alloys. Sometimes gum grafting or gum sculpting may be required to get the most natural appearance. In the case of bridges, there may be a need to wear a temporary removable appliance during the period between the removal of the old bridge (or tooth extraction) and the placement of the final bridge.

IMG_2846.JPG

After

Once a bridge has returned from the laboratory, It is quality assessed and then tried in the mouth to check for an accurate fit and excellent aesthetics. The bite is checked and if all is well, it is cemented into place. Cleaning under bridges is very important to prevent gum issues or decay at a later stage.

Gallery

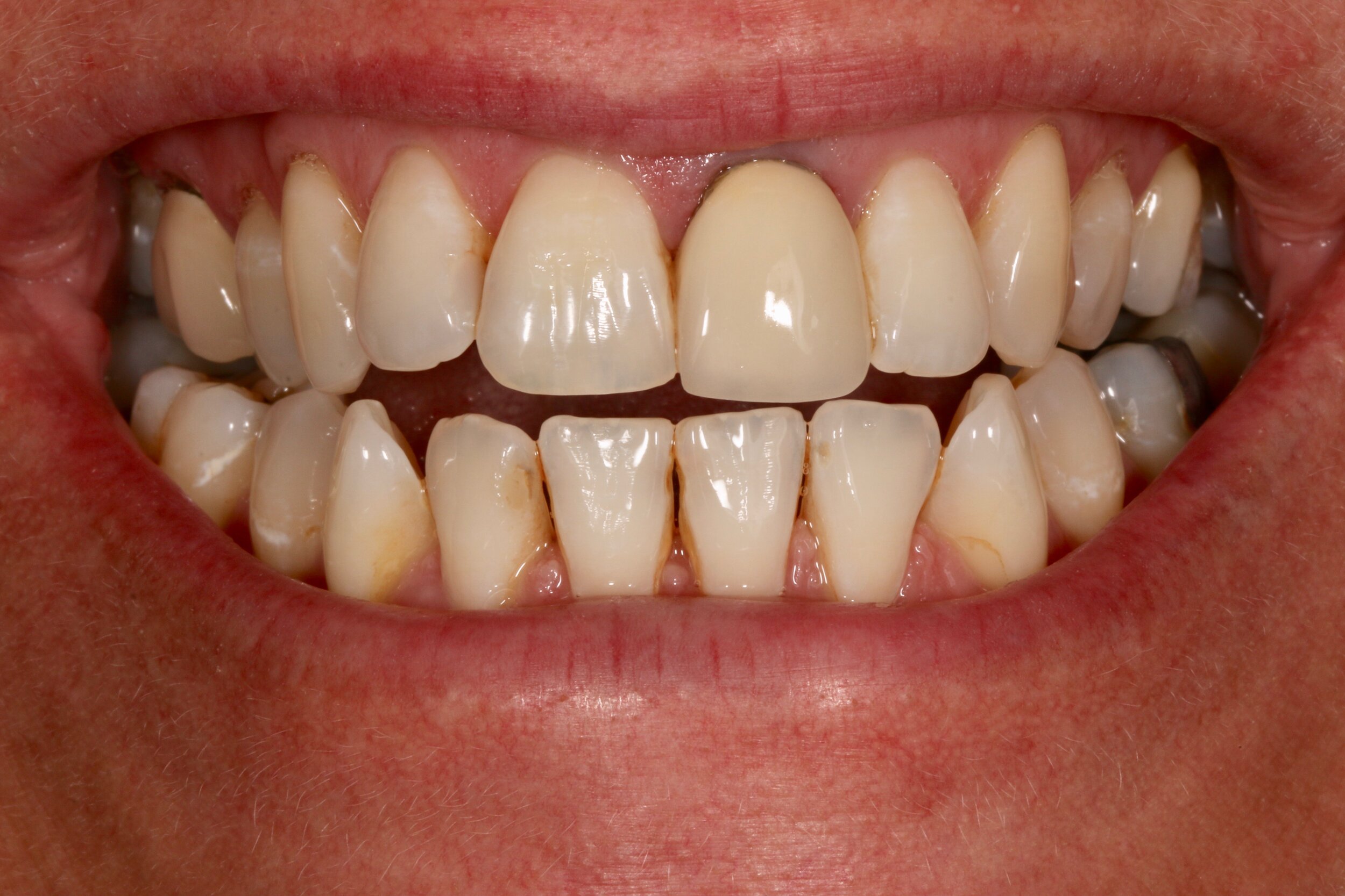
Composite White Fillings


IMG_1656.jpeg

Before

When teeth are damaged, such as in this tooth wear case, or there is a need to change the appearance in a minimally invasive, cost effective way, composites may provide the answer. There needs to be a reasonable amount of tooth left for success. White fillings win over full crowns when further preparation of the teeth would remove precious remaining tooth structure, especially in younger patients.

IMG_1820.jpg

During

Meticulous planning and several appointments are required to carefully build each tooth to its original shape by hand. Custom guides, made in the laboratory, can help place the material in the correct position, but ultimately each and every tooth is rebuilt directly in the mouth.

IMG_1897.jpeg

After

On completion of treatment, the teeth are polished and the bite checked for comfort. These restorations are more susceptible to wear over time when compared to crowns, so care must be taken to protect them in the long run. This includes bite guards to protect against grinding. Ultimately they are an excellent way of re-building damaged teeth and protecting the underlying tooth.

Gallery

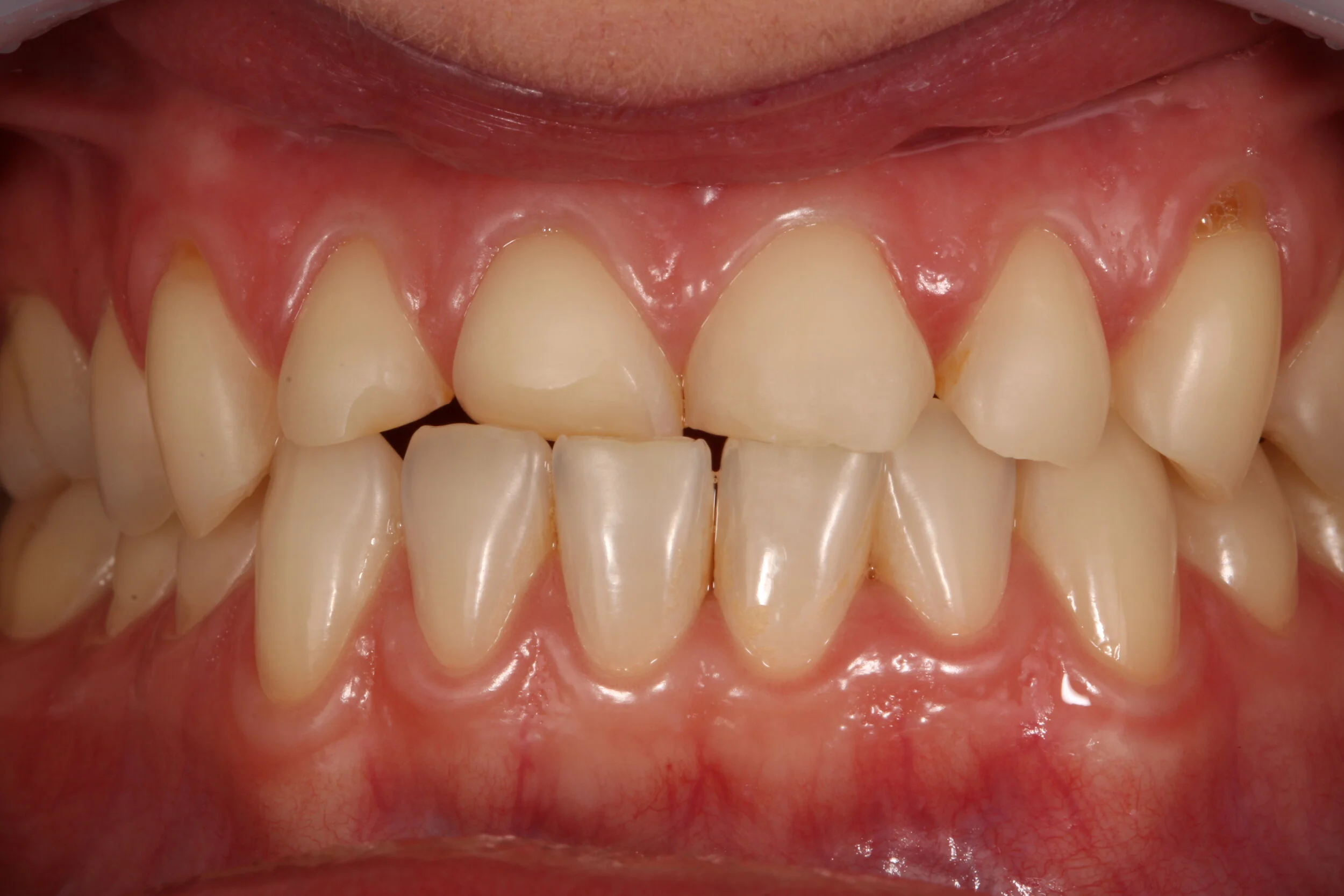
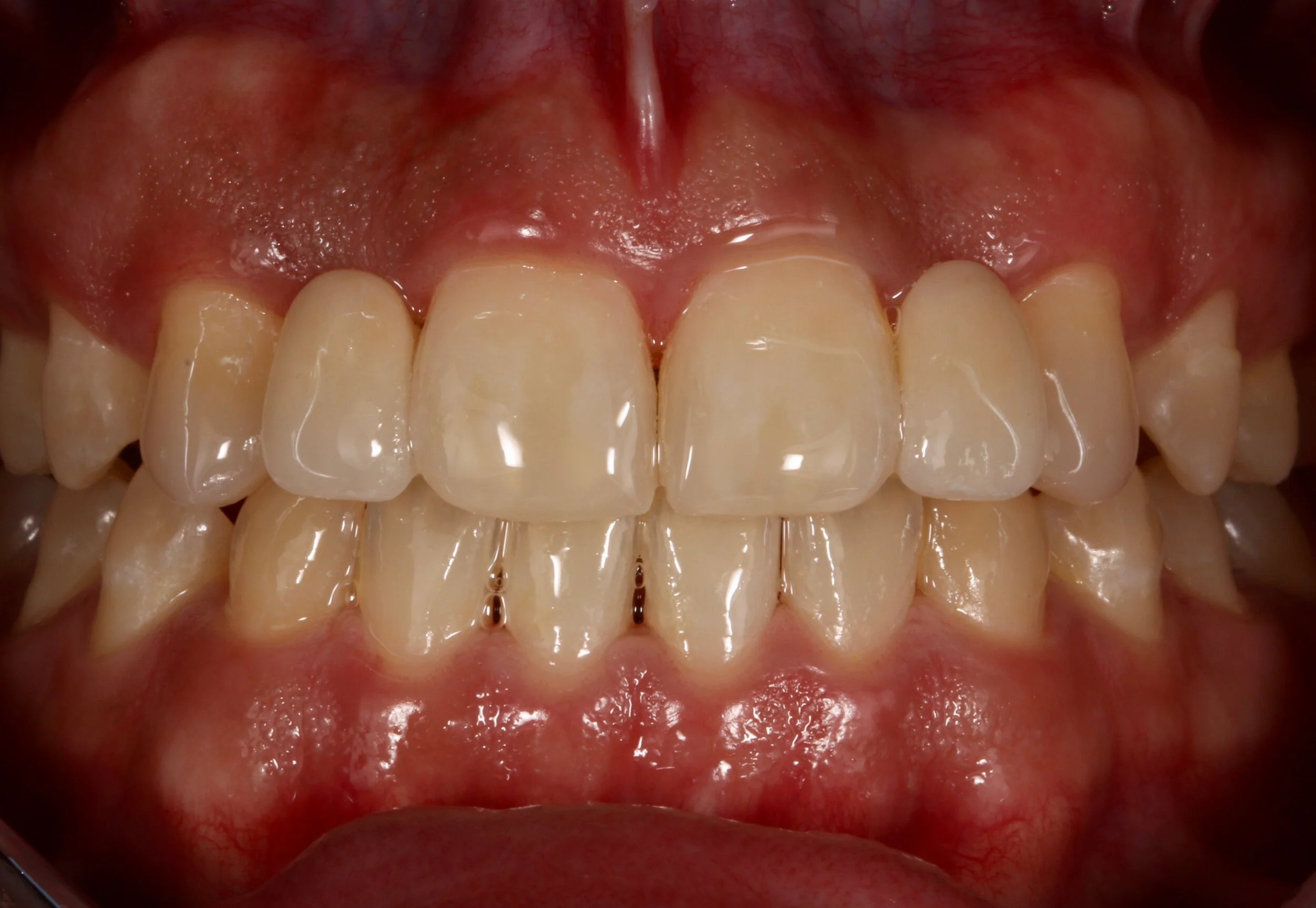
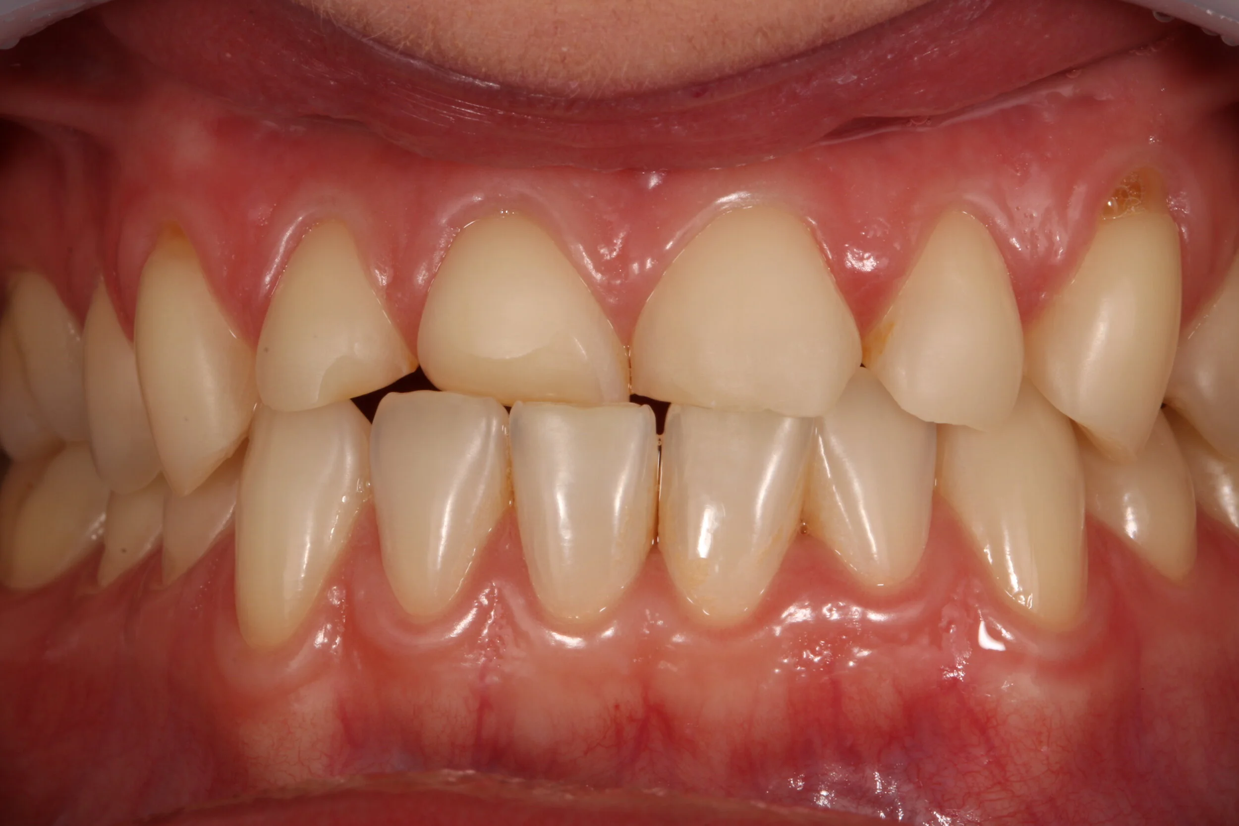
Tooth Wear


IMG_2376.JPG

Before

Tooth wear has become very common with almost all adults showing some signs on their teeth. Fizzy drinks and healthy diets can both contribute and damage teeth in the long run. Most patients with eating disorders will also have tooth wear which is another hurdle they must overcome on their road to recovery.

IMG_3127.JPG

During

Careful planning to design a beautiful new smile and rebuild the teeth is essential. Models are made and placed on bite design equipment so that the rebuild can begin. A combination of all of the treatments seen on this website are available for tooth wear cases depending on the needs of the patient.

IMG_2920.jpeg

After

Once the treatment is complete, patients can look forward to a refreshed and natural smile, less sensitivity, no sharp edges and better function and comfort. These can be life changing dental makeovers.

Gallery

Dentures


IMG_6715.JPG

Before

Dentures are removable prostheses that replace many missing teeth. The can sit on the gum if there are no teeth, or supported by some of the remaining teeth. When there are no teeth, they rely on suction to stay in place. Dental implants can help secure dentures so they provide better function and inspire confidence in use.

_DSC1305.jpg

During

Several stages are required to design and hand build a new set of dentures. If implants are required, there will be additional steps. ‘Try in’ stages make sure the teeth are in the best possible position to give a beautiful smile. Highly aesthetic teeth are used to give a natural result and high strength acrylic is used to minimise the chance of cracking at a later date.

IMG_2068.JPG

After

Once the final design has been signed off, the dentures are finished in the laboratory and delivered back to the clinic. They are checked for accuracy and then tried in. Like any new pair of shoes, there is a settling in period whilst getting used them and small adjustments are usually required. However, over time, most patients are delighted with the appearance of their new teeth.

Loose Dentures

Veneers vs Composites


Veneers

Veneers require a small amount of tooth preparation which is irreversible. This means that the patient is committed to veneers for the rest of their life. Veneers are less invasive than crowns and the most contemporary materials allow them to be made very thin.

Veneers provide the most aesthetic result as they are hand made in a laboratory. They can last longer than composites and survive on average for around 7 years. Complications include the gum receding from the edge of the veneer, along with staining at the edges or chipping of the ceramic. Sometimes this can be repaired, but it may well mean that the veneer needs to be replaced.

Composites

Composites are less invasive than veneers although old composite material may need to be removed first which might cause a very small amount of removal of the natural tooth. They are effectively reversible in that they could be removed and would leave the patient in a similar fashion to that when they first attended.

The aesthetics of composites can be excellent but are not as perfect as veneers. They also require more upkeep than veneers as the composite can chip and stain over time as they are less strong than a porcelain veneer. However, if they do chip or stain, they are more straightforward to repair. They are generally more cost effective and last on average around 5 years.

Bridges vs Implants


Bridges

Bridges are fixed in place and rely on the adjacent teeth or tooth to hold them in place. They can be very effective at replacing missing teeth but may require additional treatment, such as a gum graft, to make them look more natural at the front of the mouth. They are often best used when there has already been a bridge and this needs replacing. The supporting teeth need to be strong enough to hold a new bridge.

Bridges come in two types; those that are held on only by glue, and those that fit over the adjacent tooth to lock them into position. The second type is more destructive and is avoided if possible. Because of the preparation required, it may speed up the loss of a tooth which could have survived for longer. Bridges are often chosen when a dental implant is not a suitable option.

Bridges are susceptible to decay and gum problems as they are supported by natural teeth.

Implants

Implants are fixtures that heal into the bone and allow a tooth (or teeth) to be attached to it. They are fixed in place. The benefits of implants are that they do not rely on the tooth next door, which may be compromised and weak, or that using in may cause additional complications.

Implants are a predictable way to replace missing teeth and have been used in dentistry for many decades. Implants require surgery and can have extended treatment times over more conventional tooth-held bridges due to the extra stages involved.

Ultimately both Bridges and Implant supported teeth are successful in the right cases and have similar success rates. The major benefit of implants is that they do not involve the teeth next door.

 
Dental Implants

Success & Survival


Crown & Bridge

Crowns and bridges have around an 80% survival at 10 years. This means that 4 out of 5 are still in place at this time. Home care of any treatment carried out will give it the best chance of success. They are susceptible to fracture of the materials, or coming loose and needing to be replaced or re-cemented. Decay and gum problems, such are recession, can also cause them to be lost or replaced. 20% of teeth that have a crown or bridge placed end up needing a root treatment.

Veneers

Veneers are very similar to crowns and bridges with regard to their complications over time. They are thinner and therefore slightly more delicate than a crown and so can be more at risk of fracture if not cared for properly. The average survival of a veneer is around 7 years.

Composites

Composites have been shown to last around 5 years but can need up-keep sooner than that. Around the 2 year mark, they may need to be polished or small chips repaired. This is relatively straight forward to do. Food and drinks, such as coffee, red wine or curry are more likely to stain them over time, but again can be polished out.

Dentures

Dentures last on average 5 years and become loose over time. This is because the gum and bone are slowly, but continuously, changing shape under the denture and changing the fitting surface. If there are dental implants as part of the treatment, they may have components that wear and need replacing over time.

Further Information